WEK53-05腹部模體,WEK53-05動脈瘤腹部模體,WEK53-05 CT血管造影模型詳細介紹:
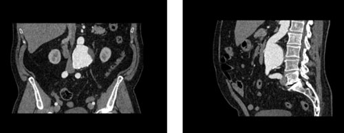
WEK53-05腹部模體,WEK53-05動脈瘤腹部模體,WEK53-05 CT血管造影模型模擬了動脈期的造影劑增強腹部。它覆蓋第一腰椎至第四骶椎。它有一個腎下腹主動脈瘤。
該模型可用于 CT(包括 CBCT)以評估和優化成像性能和后處理應用,包括支持 AI 的應用。它也適用于培訓目的。
該模型提供了對軟組織和骨組織的詳細而逼真的模擬。空隙中填充著約-160 胡的纖維素-聚合物復合材料。
WEK53-05腹部模體,WEK53-05動脈瘤腹部模體,WEK53-05 CT血管造影模型規格:
 |
大小: 約 224 x 190 x 152 mm
重量: 約 4400 g
基材: 纖維素-聚合物復合材料
最佳管電壓: 120 kVp – 可根據要求進行調整
|
WEK53-05腹部模體,WEK53-05動脈瘤腹部模體診斷特征
真實模擬脈管系統、骨骼和軟組織,包括肝臟、胰腺、脾臟、腎上腺、腎臟、胃、小腸和結腸。
肝硬化,膽囊切除術,下腔靜脈濾器,腎囊腫,腎結石,淋巴結。
WEK53-05腹部模體,WEK53-05動脈瘤腹部模體成像效果圖:
SAG:
WEK53-05動脈瘤腹部模體,WEK53-05腹部模體,動脈瘤腹部模體,CT血管造影模型,WEK53-05腹部模型