WEK54-01股骨頸骨折骨盆模型,WEK54-01骨盆模體詳細介紹:
WEK54-01股骨頸骨折骨盆模型,WEK54-01骨盆模體模擬沒有靜脈造影劑的骨盆(天然)。它覆蓋了整個骨盆,直到第五腰椎。
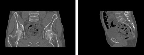
左側股骨頸移位骨折。
該模型可用于 CT(包括 CBCT)和射線照相,以評估和優化成像性能和后處理應用,包括支持 AI 的應用。它也適用于培訓目的。
WEK54-01股骨頸骨折骨盆模型,WEK54-01骨盆模體提供了對軟組織和骨組織的詳細而逼真的模擬。空隙中填充著約-160HU的纖維素-聚合物復合材料。
診斷特征
骨骼和軟組織的逼真模擬。
左側股骨頸移位骨折。
WEK54-01股骨頸骨折骨盆模型,WEK54-01骨盆模體物理規格:

|
大小: 約 270 x 170 x 160 mm
重量: 約 4150 g
基材: 纖維素-聚合物復合材料
最佳管電壓: 120 kVp – 可根據要求進行調整
|
WEK54-01股骨頸骨折骨盆模型,WEK54-01骨盆模體成像效果圖:
SAG:
WEK54-01骨盆模體,骨盆模體,股骨頸骨折骨盆模型,骨盆模型,WEK54-01模型,WEK54-01模體